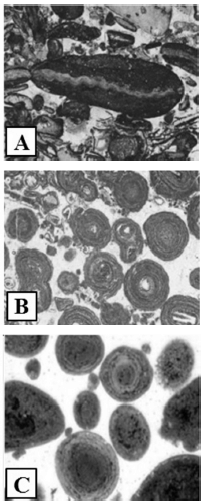
A análise do tipo de grãos é essencial no estudo de sistemas deposicionais. Nas figuras seguintes, são mostrados três tipos de grãos comumente encontrados em rochas carbonáticas.

Internet: <www.maxwell.vrac.puc-rio.br>.
Com relação a essas figuras, julgue o item seguinte.
A figura B corresponde a oncólitos