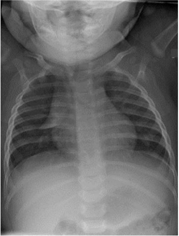
Menino, 6 meses, comparece ao pronto-socorro com história de febre, obstrução nasal, coriza, e tosse há 3 dias, e cansaço há um dia. Nega vômitos ou inapetência. Exame físico: bom estado geral, corado, hidratado, acianótico, dispneico, T=36,2 ºC, FC=163bpm, FR=71irpm, PA=80x45 mmHg, oximetria (ar ambiente) = 91%, pulsos cheios, enchimento capilar=2 segundos; Otocospia: membranas timpânicas translucidas e sem hiperemia; Pulmão: murmúrio vesicular diminuído à direita com raros sibilos bilateralmente; Coração: ritmo duplo regular sem sopros, bulhas normofonéticas. Radiograma de tórax:

ALÉM DE INTERNAR E OFERTAR OXIGÊNIO, A CONDUTA É: