Você está de plantão em um grande serviço de emergência e chega
uma paciente com a seguinte história: mulher, 64 anos,
previamente hipertensa, dislipidêmica, com queixa de dor
retroesternal, de caráter opressivo, associada à dispneia. Refere
discussão com familiares ocorrida há dois dias.
Eletrocardiograma de admissão: ritmo sinusal; eixo QRS normal; com supradesnivelamento do segmento ST de 1mm em D1, aVF, V5 e V6.
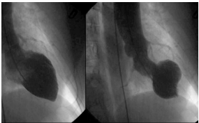
Ecocardiograma transtorácico demonstrou acinesia apical e hipocinesia dos segmentos médios, com hipercinesia de segmentos basais, além de disfunção moderada à grave do ventrículo esquerdo.
Ventriculografia a seguir:
CARABALLO, K Editoriales Sociedad Interamericana de Cardiología. 15.04.19.
Sobre o caso clínico apresentado e a principal hipótese diagnóstica, para as afirmações a seguir, assinale (V) para a verdadeira e (F) para a falsa.
( ) As anormalidades de parede, ao ecocardiograma, podem acometer território de mais de uma coronária. ( ) Pode ocorrer aumento dos níveis da troponina sérica. ( ) Um gatilho de estresse físico ou emocional está presente na maioria dos pacientes, mas não é obrigatório para o diagnóstico. ( ) A ressonância magnética cardíaca é necessária para o diagnóstico.
As afirmativas são, respectivamente,
Eletrocardiograma de admissão: ritmo sinusal; eixo QRS normal; com supradesnivelamento do segmento ST de 1mm em D1, aVF, V5 e V6.
Ecocardiograma transtorácico demonstrou acinesia apical e hipocinesia dos segmentos médios, com hipercinesia de segmentos basais, além de disfunção moderada à grave do ventrículo esquerdo.
Ventriculografia a seguir:

CARABALLO, K Editoriales Sociedad Interamericana de Cardiología. 15.04.19.
Sobre o caso clínico apresentado e a principal hipótese diagnóstica, para as afirmações a seguir, assinale (V) para a verdadeira e (F) para a falsa.
( ) As anormalidades de parede, ao ecocardiograma, podem acometer território de mais de uma coronária. ( ) Pode ocorrer aumento dos níveis da troponina sérica. ( ) Um gatilho de estresse físico ou emocional está presente na maioria dos pacientes, mas não é obrigatório para o diagnóstico. ( ) A ressonância magnética cardíaca é necessária para o diagnóstico.
As afirmativas são, respectivamente,