Em cada um dos itens de 57 a 59, é apresentado um caso clínico
referente a doenças respiratórias na infância, seguido de uma
assertiva a ser julgada.
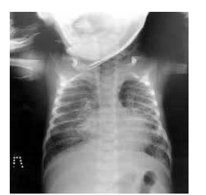
Um lactente de um mês de idade, nascido de parto vaginal, apresentava tosse seca havia uma semana. O exame físico do bebê constatou temperatura axilar de 37 ºC, hiperemia, edema e secreção serosa em conjuntivas, leve taquipneia e murmúrio vesicular rude com creptações disseminadas à ausculta pulmonar. Foi realizada radiografia do tórax, conforme ilustrado a seguir.

Nesse caso, o diagnóstico mais provável é pneumonia por Chlamydia trachomatis, e o tratamento do paciente deve ser realizado com azitromicina, na dose de 30 mg/kg por cinco dias.
Provas
Questão presente nas seguintes provas
Residência em Medicina - Anestesiologia
120 Questões
Residência em Medicina - Cirurgia Geral
120 Questões
Residência em Medicina - Clínica Médica
120 Questões
Residência em Medicina - Dermatologia
120 Questões
Residência em Medicina - Genética Médica
120 Questões
Residência em Medicina - Ginecologia
120 Questões
Residência em Medicina - Infectologia
120 Questões
Residência em Medicina - Neurocirurgia
120 Questões
Residência em Medicina - Obstetrícia
120 Questões
Residência em Medicina - Oftamologia
120 Questões
Residência em Medicina - Ortopedia
120 Questões
Residência em Medicina - Otorrinolaringologia
120 Questões
Residência em Medicina - Patologia
120 Questões
Residência em Medicina - Pediatria
120 Questões
Residência em Medicina - Radioterapia
120 Questões
Residência em Medicina - Traumatologia
120 Questões
Residência em Psiquiatria
120 Questões