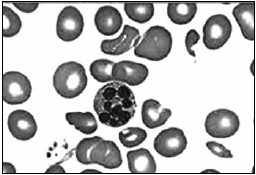
Uma das principais ameaças à saúde infantil é a desnutrição aguda grave. De acordo com a Organização Mundial da Saúde (OMS), cerca de 45% das mortes de crianças menores de cinco anos estão relacionadas com a desnutrição, acometendo, principalmente, países de baixa e média rendas. A seguir, encontra-se o resultado de uma eletroforese de proteínas e lâmina de esfregaço de sangue de uma criança 4 anos, que é de família de piaçabeiros, comunidade tradicional da Amazônia. Os dois resultados apontam, respectivamente, os seguintes diagnósticos e quadro de desnutrição da criança:
(Referência: https://www.msf.org.br/ Acesso em: 13 de julho de 2023)
Figura 1

Figura 2

(Laudo e imagem cedidos pelo Laboratório de Análises Clínicas do Centro Universitário FMABC)