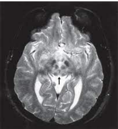
Considere a figura a seguir, que apresenta uma imagem de ressonância nuclear magnética (RNM) com alteração típica no encéfalo, para responder a esta questão.

SONAM, K.; BINDU, P.S.; GAYATHRI N. et al. The “double panda” sign in Leigh disease. Journal of Child Neurology. 2014, v. 29, n. 7, p. 980-982.
Analise as afirmativas sobre a RNM.
I. O diagnóstico da doença de Wilson não pode baseado apenas nesta imagem.
PORQUE
II. O sinal do panda gigante pode estar presente na sarcoidose e síndrome de Leight.
Assinale a alternativa CORRETA.