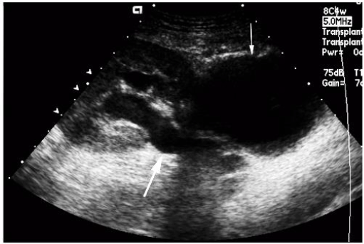
Homem de 42 anos, com história de transplante renal há três meses, se apresenta com queixa de abaulamento subjacente à cicatriz cirúrgica do enxerto na fossa ilíaca direita, sem dor ou vermelhidão local. Nega febre. Sua creatinina sérica é de 1,0 mg/dL. Uma avaliação ultrassonográfica é realizada, observando-se dilatação pielocalicial moderada no rim transplantado, assim como uma coleção subjacente à ferida operatória, conforme imagens abaixo. De acordo com a história clínica e o exame complementar, assinale a alternativa correta.

Provas
Questão presente nas seguintes provas