
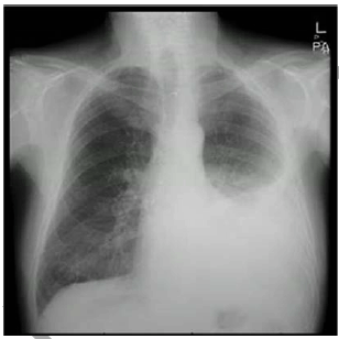
Um paciente comparece ao pronto atendimento com dispneia, tosse, dor torácica pleurítica e febre baixa, após queda na rua ocorrida há uma semana, em que houve trauma torácico. Na ocasião, foram realizados raios X de tórax.
Considerando a análise da imagem, assinale a alternativa que indica o tratamento para o alívio dos sintomas relatados no referido caso hipotético.
Provas
Questão presente nas seguintes provas
Residência em Medicina - Programa 001
50 Questões
Residência em Medicina - Programa 004
50 Questões
Residência em Medicina - Programa 006
50 Questões
Residência em Medicina - Programa 007
50 Questões