Magna Concursos
869679 Ano: 2019
Disciplina: Medicina
Banca: AOCP
Orgão: Pref. Vitória-ES

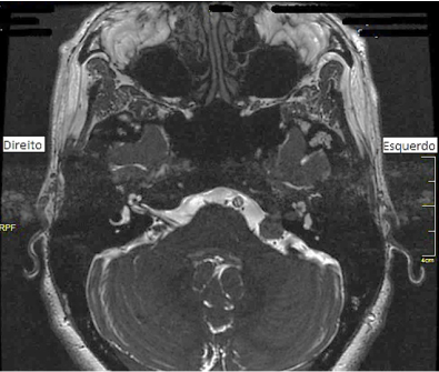
Observe a imagem a seguir e assinale a alternativa correta referente ao que ela evidencia.

enunciado 869679-1

 

Provas

Questão presente nas seguintes provas

Médico - Otorrinolaringologia

50 Questões