Paciente masculino, 54 anos, apresenta dor abdominal intensa irradiada para o tórax e dorso, com intensidade 10/10, associada a náuseas, porém sem vômitos. Ao exame físico, encontra-se afebril, anictérico, com PA 166x121 mmHg, FC 78 bpm, abdome globoso, tenso, doloroso difusamente, com ruídos hidroaéreos diminuídos.
Exames laboratoriais: Hb19,4 g/dL, leucócitos 21.930/mm³, creatinina 2,81 mg/dL, ureia 92 mg/dL; bilirrubina total 1,45 mg/dL, bilirrubina direta 0,38 mg/dL, fosfatase alcalina 49 U/L, GGT 37 U/L, amilase 2234 U/L, lipase 2984 U/L, PCR 44 mg/L (VR<1,0). Aferida pressão intrabdominal 17mmHg.
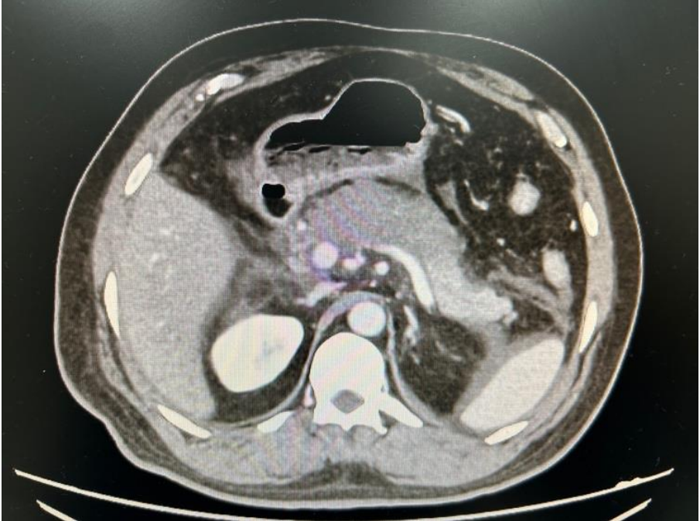
Realizada tomografia computadorizada para diagnóstico diferencial e obtida a imagem abaixo:

Considerando o diagnóstico do paciente, a conduta imediata deve ser: