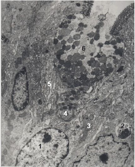
A eletromicrografia abaixo mostra diferentes tipos celulares de um órgão do sistema digestório. A alternativa que contém, respectivamente, o órgão e as organelas representadas pelos números é:

A eletromicrografia abaixo mostra diferentes tipos celulares de um órgão do sistema digestório. A alternativa que contém, respectivamente, o órgão e as organelas representadas pelos números é:
