Magna Concursos
2607100 Ano: 2022
Disciplina: Medicina
Banca: Consulplan
Orgão: PM-RN

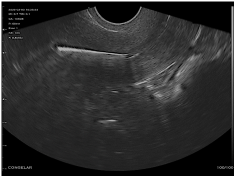
Paciente, 32 anos, DUM há quinze dias, em uso de DIU não hormonal há dois anos, comparece para realização de ultrassonografia para avaliação de posicionamento de DIU. Ao exame, é observada a imagem a seguir:

Enunciado 2607100-1

Qual a conclusão do exame?

 

Provas

Questão presente nas seguintes provas

QOSPM - Médico/Radiologia e Ultrassonografia

80 Questões