Magna Concursos
1814917 Ano: 2016
Disciplina: Farmácia
Banca: COVEST-COPSET
Orgão: UFPE
Provas:
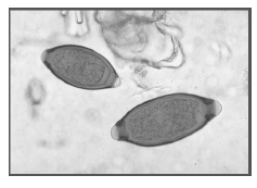
Observe a imagem de um exame parasitológico de fezes contendo ovos de um helminto e marque a alternativa correta quanto ao parasita em questão.
Enunciado 1814917-1
 

Provas

Questão presente nas seguintes provas

Farmacêutico

80 Questões