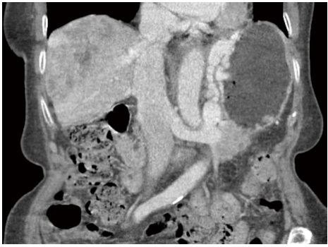
Mulher de 68 anos, com história de cirrose secundária a esteatohepatite não alcoólica, chega à emergência com quadro de vômitos em borra de café e fezes escurecidas nas últimas 48 horas, referindo ainda fraqueza e tonturas. Refere outro episódio semelhante no passado. Seu escore de Child é B (7 pontos), não apresenta história de encefalopatia ou ascite e sua hemoglobina é de 8g/dL. É realizada estabilização hemodinâmica com reposição volêmica seguida de endoscopia digestiva alta, na qual são observadas proeminentes varizes gástricas isoladas, com mucosa apresentando vergão vermelho e coágulos na cavidade, sem sangramento ativo no momento do exame. Uma angiotomografia venosa é realizada e está representada abaixo. Assinale a alternativa correta entre as abaixo.
