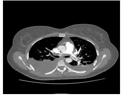
Mulher, 58 anos, hipertensa, em uso de losartan 100 mg e atenolol 100 mg, apresenta relato
de dispneia progressiva aos esforços, dorsalgia à esquerda,
perda peso e calafrios vespertinos. Na consulta de retorno,
traz exame solicitado (CT tórax), conforme imagem ao lado.

De acordo com esse achado, foi realizada uma toracocentese. A análise do líquido mostrou uma relação proteína pleural/sérica > 0,5 e DHL pleural/sérica > 0,6 com dosagem de ADA de 80 ui/L (VR: até 40 ui/L). Considerando essas informações, o diagnóstico é

De acordo com esse achado, foi realizada uma toracocentese. A análise do líquido mostrou uma relação proteína pleural/sérica > 0,5 e DHL pleural/sérica > 0,6 com dosagem de ADA de 80 ui/L (VR: até 40 ui/L). Considerando essas informações, o diagnóstico é