Magna Concursos
2169052 Ano: 2021
Disciplina: Medicina
Banca: VUNESP
Orgão: EsFCEx

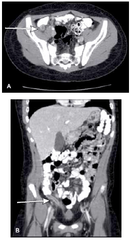
Homem de 19 anos deu entrada na emergência com sintomas e sinais de abdome agudo. A tomografia computadorizada do abdome está demonstrada a seguir.

Enunciado 2169052-1

Com relação a este caso, pode-se afirmar que,

 

Provas

Questão presente nas seguintes provas

CFO-SSau - Médico/Cirurgia Geral

60 Questões