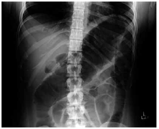
Homem de 24 anos apresenta quadro de diarreia sanguinolenta há 2 semanas, com até 10 evacuações por dia, associado a dor e distensão abdominal inferior. Ele tem colite ulcerativa extensa de 5 anos de duração e os medicamentos em uso são infliximabe, azatioprina e prednisona. Ao exame físico: o paciente parece doente; temperatura: 38,3 ºC; pressão arterial: 90 x 60 mmHg; frequência cardíaca: 110 bpm; o abdome está distendido com defesa à descompressão; os sons intestinais são hipoativos. Exames séricos: hemoglobina: 10 g/dL; leucócitos: 16 000/mm3; ureia: 26 mg/dL. A radiografia abdominal realizada é mostrada a seguir.

Nesse momento, a conduta prioritária é