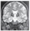
Menino de 9 anos de idade apresenta-se com transtorno progressivo de marcha, oligocinesia, movimentos distônicos dos membros superiores, declínio cognitivo e progressiva diminuição da visão. Ao exame clínico, constata-se hipertonia generalizada nos 4 membros e discreta hiperreflexia. Sua ressonância nuclear magnética de crânio mostra a alteração regsitrada na figura:

Corte coronário de RNM com imagens ponderadas em T2 Pode-se afirmar que o metal acumulado de forma significativa no sistema nervoso central do paciente é o