NAS QUESTÕES NUMERADAS DE 16 A 40, ASSINALE A ÚNICA ALTERNATIVA QUE RESPONDE CORRETAMENTE AO ENUNCIADO.
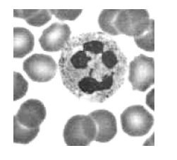
Ao realizar um exame de esfregaço sangüíneo, é observada uma pequena massa de cromatina, na forma de baqueta de tambor, em um dos lóbulos do núcleo de diversos neutrófilos, como observado na figura abaixo.

Essa formação encontrada pode ser classificada como: