Magna Concursos
2828690 Ano: 2022
Disciplina: Medicina
Banca: VUNESP
Orgão: EsFCEx

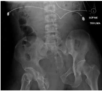
Mulher, 29 anos, sofreu queda de moto, evoluindo com perda de consciência e instabilidade hemodinâmica. Foi submetida à intubação orotraqueal e o e-FAST foi negativo em todos os pontos estudados. Realizou a radiografia demonstrada na imagem.

Enunciado 3013612-1

De acordo com os dados apresentados, assinale a alternativa correta.

 

Provas

Questão presente nas seguintes provas