Paciente de 30 anos, previamente saudável, apresenta-se com um quadro clínico de duas semanas de evolução caracterizado por cefaleia persistente, febre baixa e rigidez nucal. O exame do líquido cefalorraquidiano (LCR) revela pleocitose linfocítica, hipoglicorraquia e hiperproteinorraquia.
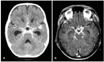
A tomografia computadorizada (TC) do crânio encontra-se a seguir.

(https://www.google.com/imgres? imgurl=https%3A%2F%2Fwww.researchgate.net%2Fpublication%)
Das seguintes etiologias, a mais provável para os achados clínicos e laboratoriais nesse paciente é: