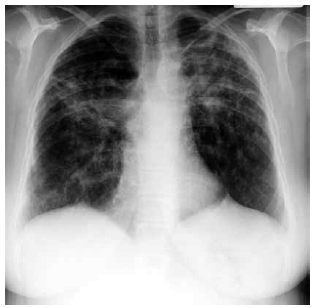
Mulher de 59 anos de idade relata quadro de fadiga, tosse seca e dispneia aos esforços há 1 ano. Nega antecedentes mórbidos, etilismo ou tabagismo. Ao exame físico: PA: 130 x 80 mmHg, FC: 88 bpm; FR: 20 ipm, SatO2: 94% e T: 38 ºC. cardiopulmonar: NDN. Exames séricos: creatinina: 1,1 mg/dL, glicemia: 82 mg/dL, cálcio 11,5 mg/dL (normal: 9 a 10,5), fósforo: 4,7 mg/dL (normal: 3,0 a 4,5), hormônio da paratireoide < 10 pg/mL (normal: 10 a 65) e 1,25-dihidroxivitamina D elevada. Teste cutâneo de tuberculina (PPD) é normal. A radiografia de tórax realizada é mostrada a seguir.

Com os dados descritos, o diagnóstico mais provável é