Magna Concursos
1837627 Ano: 2015
Disciplina: Medicina
Banca: CESPE / CEBRASPE
Orgão: SES-DF

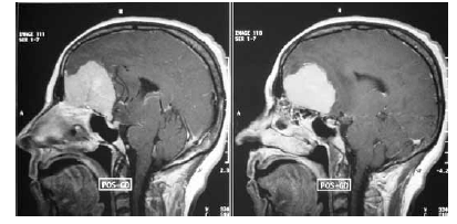
Enunciado 1837627-1

Considerando a figura acima, que mostra o resultado do exame de imagem de um paciente, julgue os itens seguintes.

A lesão identificada no exame de imagem em questão é frequente em pacientes com neurofibromatose tipo 2.
 

Provas

Questão presente nas seguintes provas