Magna Concursos
2999593 Ano: 2023
Disciplina: Radiologia
Banca: FGV
Orgão: Pref. São José dos Campos-SP
Provas:

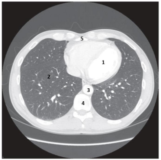
Observe a imagem a seguir.

Enunciado 3332911-1

Assinale a opção que identifica corretamente o número indicado na imagem

 

Provas

Questão presente nas seguintes provas

Técnico de Radiologia

60 Questões