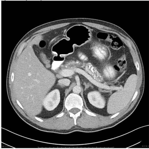
MSL, 55 anos, comparece ao hospital com quadro de dor abdominal, inespecífica, com piora após as alimentações, iniciada há cerca de
10 dias. Refere ser alcoolista crônico; porém, nega qualquer outra comorbidade. Realizada tomografia computadorizada de abdome,
como atesta a figura abaixo:
Figura 1 –Tomografia computadorizada de abdome.
Fonte: CPCON.
Qual seria a hipótese diagnóstica compatível com o caso apresentado e os achados de imagem que podem estar associados, além dos que são apresentados no exame?
Figura 1 –Tomografia computadorizada de abdome.
Fonte: CPCON.
Qual seria a hipótese diagnóstica compatível com o caso apresentado e os achados de imagem que podem estar associados, além dos que são apresentados no exame?