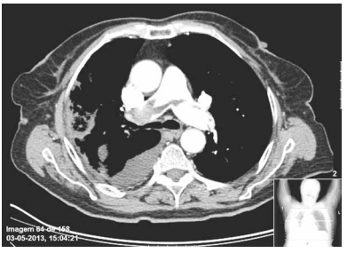
Leia o enunciado a seguir e responda a questão.
Mulher, 68 anos, sem antecedentes mórbidos, apresenta dor torácica ventilatório-dependente, de forte intensidade com piora à inspiração profunda e dispneia intensa. Recebeu alta há 15 dias após internação para cirurgia de correção de fratura de colo de fêmur. Exame físico: bom estado geral, taquipneica leve, afebril, PA = 120x70 mmHg, saturação periférica de oxigênio = 89% em ar ambiente, ausculta cardíaca normal e ausculta pulmonar com estertores crepitantes finos em bases. Realizados eletrocardiograma e tomografia computadorizada de tórax com contraste, ilustrados a seguir.

