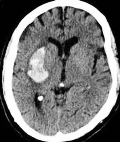
Paciente do sexo masculino, 58 anos, hipertenso prévio sem controle adequado e tabagista. Admitido com queixa de cefaleia e hemiplegia completa à esquerda de início súbito há 4 horas da admissão hospitalar. No momento apresenta pontuação na escala do NIH de 12, pressão arterial de 210/100 mmHg, FC: 87 bpm, ritmo sinusal no monitor cardíaco. Tomografia de crânio a seguir.

(https://www.google.com/imgres?)
Assinale a alternativa correta referente ao tratamento na fase aguda desse paciente.