Magna Concursos
2171390 Ano: 2021
Disciplina: Medicina
Banca: VUNESP
Orgão: EsFCEx

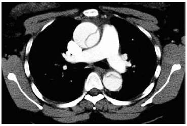
Homem de 67 anos relata início de dor torácica intensa há cerca de 4 horas. Refere histórico de hipertensão arterial e tabagismo, em uso de enalapril, hidroclorotiazida e anlodipino. Nega cardiopatia ou broncoespasmo. Ao exame físico: fácies de dor, consciente, orientado, sudorético e muito ansioso; PA: 195 x 115 mmHg, FC: 110 bpm, FR: 20 ipm e SatO2: 93%. Exames gerais, d-dímeros, troponina de alta sensibilidade, BNP e gasometria arterial são solicitados; tomografia multidetector realizada é mostrada a seguir.

Enunciado 2171390-1

Constitui uma complicação que é mais provável nesse paciente:

 

Provas

Questão presente nas seguintes provas

CFO-SSau - Médico/Medicina Intensiva

60 Questões