Magna Concursos
2037344 Ano: 2020
Disciplina: Medicina
Banca: FUNDATEC
Orgão: GHC

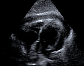
Um paciente de 29 anos foi vítima de ferimento por arma de fogo no 5º espaço intercostal esquerdo, na topografia da linha hemiclavicular, e chega ao Centro de Trauma. Apresenta-se agitado, sudoreico e com pulsos filiformes. O paciente é submetido a um e-FAST (extended-FAST) e identifica-se a imagem abaixo. Qual a conduta mais apropriada para esse caso?

Enunciado 3010855-1

 

Provas

Questão presente nas seguintes provas

Médico - Cirurgia do Trauma

40 Questões