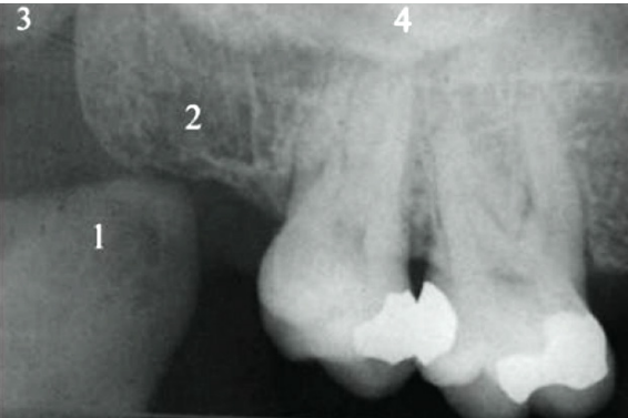
Observe a imagem abaixo de uma radiografia periapical de molares superiores:

Disponível em: Livro - Radiologia Odontológica e Imaginologia - Série Fundamentos de Odontologia 2ª ed.
Assinale a alternativa que corresponde à nomenclatura da estrutura anatômica marcada como 1 na imagem.