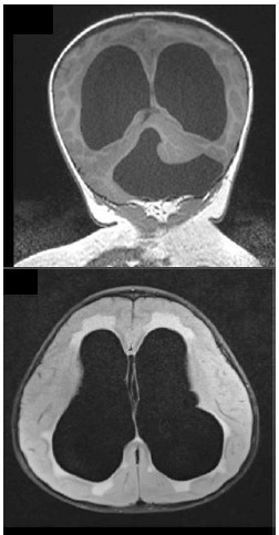
Existem diversos tipos de malformações congênitas do cérebro; muitas delas resultam em complicações motoras, sensoriais e intelectuais.

As imagens correspondem à síndrome de:
Existem diversos tipos de malformações congênitas do cérebro; muitas delas resultam em complicações motoras, sensoriais e intelectuais.

As imagens correspondem à síndrome de: