LEIA O RELATO DE CASO ABAIXO:
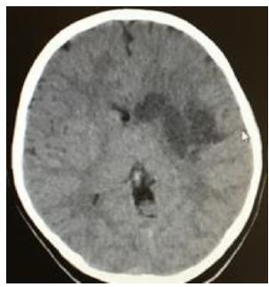
Criança de 8 anos, masculino, branca, acompanhada pela mãe, dá entrada no hospital com afasia mista e hemiplegia a direita. Acompanhante relata que a paciente estava previamente hígida e após atividade física, torneio de basquete e natação que ocorreu na escola do dia anterior (entre 09:00 - 12:00), a paciente se queixou de cefaleia de intensidade acentuada, não soube especificar o tipo e se havia irradiação, associada à dor torácica e dispneia. A mãe a medicou com dipirona, 40 gotas, e a paciente dormiu. Quando despertou às 16 horas apresentava afasia motora e choro gesticulando que permanecia com dor torácica. A mãe fez então massagem com hidratante corporal em todo o corpo da paciente e administrou ½ comprimido de Torsilax®, após isso a paciente adormeceu. No dia seguinte, em torno de 7h a mãe a encontrou caída no chão aos pés da cama, afásica, com desvio da rima labial para a esquerda, hemiplegia à direita e disfagia, teve insucesso na tentativa de levantá-la. Foi então que a levou à Unidade de Pronto Atendimento (UPA) onde foi encaminhada para o Hospital Universitário, lá realizou exames. A paciente apresentava hemiplegia direita e afasia mista e queixava de cefaleia e dor toráxica. Ao exame: pele íntegra, afebril, PA: 120X63 mmHg, FC: 72bpm, FR: 14irpm, SatO2 de 100%, pupilas isocóricas, reflexo fotomotor presente, escala de coma de Glasgow com 11/15 pontos. Sintomas Gerais: Refere ao aumento do peso de 15kg em 1 ano e meio. Nega febre, calafrios, prurido, sudorese ou palidez. Refere à cefaleia e dor ocular, nega redução da acuidade visual, fotofobia ou secreção lacrimal. Refere à otalgia e nega otorragia, hipoacusia e zumbidos. Nega epistaxe, rinorreia e parosmia. Refere a palpitações e dor torácica. Refere à dispneia sem tosse e sem hemoptise. Refere à disfagia e nega náuseas ou vômitos. Nega diarreia ou sintomas urinários. Refere-se também à parestesia braquial e crural esquerda. Nega tremores, convulsões e automatismos. Cartão vacinal atualizado. Durante a investigação foi realizado uma tomografia computadorizada (TC) de crânio no 1º DIH com áreas hipoatenuantes mal delimitadas acometendo substância branca e cinzenta das regiões nucleocapsular, insular/subinsular e frontotemporal à esquerda associadas à redução de amplitude de sulcos corticais e fissuras regionais e a compressão de parte do ventrículo lateral esquerdo. Linha média centrada (Figura1).

(Figura1)
Sobre o caso, responda (V) para verdadeiro e (F) para falso para as alternativas abaixo.
(.....) Trata-se de um caso de AVC hemorrágico.
(.....) Trata-se de um caso de AVC Isquêmico.
(.....) Na tomografia computadorizada (TC) na imagem formada do cérebro, a substância cinzenta fica branca porque ela é rica em corpos de neurônios, ou seja, apresenta grande quantidade celular em relação à gordura.
(.....) Na TC o hematoma subdural é identificado pela coleção de sangue entre a dura-máter e a calota craniana.
(.....) Na avaliação neurológica do paciente, ao observar uma TC é preciso verificar a simetria, linha média, ventrículos, sulcos cerebrais, estrutura óssea.
Assinale a alternativa que representa as respostas das alternativas acima: