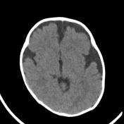
Pediatra atende paciente de 7 meses de vida com aumento do perímetro cefálico, história de gestação e parto sem intercorrência. O perímetro cefálico do nascimento foi de 34 cm e, ao exame físico, apresenta 47 cm, com restante do exame neurológico normal. Foi solicitada uma tomografia computadorizada de crânio (imagem abaixo).

Qual é o diagnóstico?
Provas
Questão presente nas seguintes provas
Residência em Medicina - Neurologia Pediátrica
50 Questões