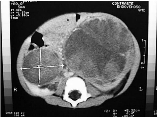
Lactente, 2a, assintomático, foi observado aumento de volume abdominal pela família. Procurou o pediatra que palpou “uma massa” em flanco esquerdo e solicitou a tomografia apresentada abaixo.

Qual é a hipótese diagnóstica e conduta inicial mais apropriada?