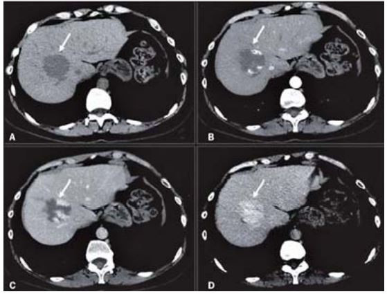
Os cortes abaixo são de uma tomografia computadorizada com contraste para avaliação de uma lesão focal hepática. Analise as imagens e marque a afirmação correta sobre a lesão focal encontrada.

Provas
Questão presente nas seguintes provas
Os cortes abaixo são de uma tomografia computadorizada com contraste para avaliação de uma lesão focal hepática. Analise as imagens e marque a afirmação correta sobre a lesão focal encontrada.
