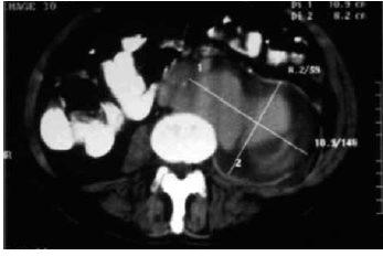
Homem, 63 anos, dislipidêmico e tabagista (50 maços/ ano), obeso, sem sintomas prévios, apresentou dor abdominal súbita e intensa, localizada em região do flanco esquerdo, irradiada para a região lombar esquerda, acompanhada de hipotensão arterial, sudorese e palidez, além de dor à elevação da coxa esquerda. Descompressão brusca abdominal negativa, palpação dificultada pelo abdome volumoso. Houve melhora da dor com analgésico, porém sem recuperação dos níveis pressóricos. Foi submetido à tomografia computadorizada de abdome, demonstrada na imagem.

Qual o diagnóstico provável e o tratamento indicado?
Provas
Questão presente nas seguintes provas