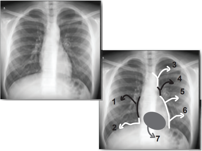
Você preparou uma prova de radiografia de tórax para os seus alunos de biomedicina. Para tanto, escolheu uma radiografia normal de tórax (póstero anterior) de um adulto jovem, e em seguida identificou estruturas de 1 a 7, conforme abaixo, para que o aluno identificasse os contornos da silhueta cardíaca. Seguem as respostas de cinco alunos. Assinale a alternativa do aluno que acertou todas as estruturas:

Questões | |||||||
ALUNOS | 1 | 2 | 3 | 4 | 5 | 6 | 7 |
Mateus | veia cava superior | ventrículo direito | carótida | veia pulmonar | átrio esquerdo | ventrículo esquerdo | ápice do ventrículo esquerdo |
| Lucas | ventrículo direito | ventrículo direito | carótida | aorta | veia pulmonar | ventrículo direito | ápice do ventrículo esquerdo |
| Beth | veia cava inferior | junção com a veia cava inferior | aorta | tronco da veia pulmonar | átrio esquerdo | ventrículo esquerdo | ventrículo direito |
| Julia | átrio direito | junção com a veia cava inferior | aorta | tronco da artéria pulmonar | átrio esquerdo | ventrículo esquerdo | ventrículo direito |
| Daniel | átrio direito | ventrículo direito | carótida | aorta | ventrículo esquerdo | ventrículo esquerdo | ápice do ventrículo esquerdo |