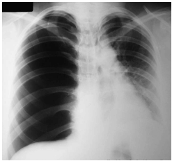
Analisar o seguinte Raio X de tórax de um paciente com história de ferimento por arma branca em tórax à direita, dando entrada na emergência com dor torácica, dispneia intensa, hipotensão e confusão mental:

Assinalar a alternativa cuja conduta é preconizada para esse momento:
Provas
Questão presente nas seguintes provas
Médico - Auditoria
80 Questões
Médico - Cardiologia
80 Questões
Médico - Clínica Geral/Pronto-Atendimento
80 Questões