Magna Concursos
2781502 Ano: 2023
Disciplina: Medicina
Banca: VUNESP
Orgão: Pref. Pindamonhangaba-SP

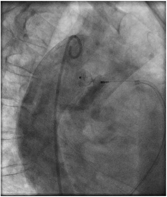
Paciente de 55 anos, feminina, vem encaminhada do Hospital de referência devido a quadro de cervicalgia associada a dor torácica esquerda de leve intensidade com piora ao esforço físico. Nega outras queixas. Tem como antecedentes: três gestações com parto cesárea sem intercorrências, ex-tabagista (carga baixa), etilista social, sedentária, diabetes mellitus não insulino dependente, osteoporose e hipertensão arterial sistêmica.

Ao exame físico: bom estado geral. FC = 75 bpm; FR = 20 irpm; PA = 160 x 70 mmHg; Saturação periférica de O2 em ar ambiente = 97% em membro superior direito e 98% em membro inferior direito. Presença de bulhas rítmicas, normofonéticas, em dois tempos e com sopro contínuo em região infraclavicular esquerda. Pulsos periféricos presentes e de amplitude aumentada.

Com base nesta figura de cateterismo cardíaco, qual a cardiopatia congênita diagnosticada?

Enunciado 3561525-1

 

Provas

Questão presente nas seguintes provas

Médico - Cardiologia Pediátrica

40 Questões