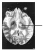
Homem de 38 anos de idade procurou unidade de emergência com déficit motor e sensitivo no membro superior direito, com evolução de alguns dias. Não apresentava náuseas ou vômitos, e sua pressão arterial medida foi de 140x90 mmHg. De antecedente fumava 20 cigarros/dia, mas nega etilismo. Tem antecedentes de uso de maconha, porém nunca usou drogas endovenosas. Ao exame, apresentava hemiparesia direita, sensitivo-motora, de predomínio braquio-facial, com hiperreflexia nos membros à direita. Além disso, foi observado o aparecimento de movimentos coreicos no dimídio direito. Fundoscopia foi normal. RNM com imagens ponderadas em T2 mostram lesão ovalada no núcleo subtalâmico esquerdo, com bordo hiperintenso e centro hipointenso (vide figura). RX tórax foi normal. Hemograma mostrou 2 800 leucócitos, com 300 linfócitos. HIV foi positivo, inclusive no Western blot. LCR lombar mostrou discreta pleocitose, linfomonocitária (14 células) com 52 mg/dL de proteínas e 88 mg/dL de glicose. Testes com látex foram negativos, bacterioscópico e micológico direto, negativos.

A conduta indicada para esse caso é