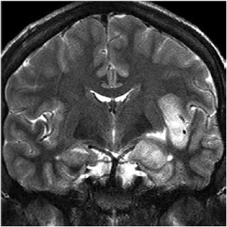
Homem de 63 anos com histórico de hipertensão, tabagismo (30 maços-ano) e etilismo é internado com febre e convulsões de início recente. Ele apresenta espasmos faciais, tremores nos braços e pernas e alguns episódios de tremores aparentemente generalizados que duram 1 hora. Ele recebe o total de 20 mg de diazepam intravenoso, o que interrompe a atividade convulsiva. Ao chegar na UTI, o estado mental começa a piorar e ele é intubado e colocado em ventilação mecânica. A ressonância magnética (coronal, T2) realizada é mostrada a seguir.

(Arquivo pessoal: imagem usada com autorização.)
Considerando a principal hipótese diagnóstica, é correto afirmar: