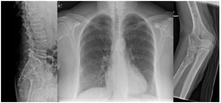
Homem, 76 anos, hospitalizado por piora do estado geral e do estado geral e queixando-se de dor em membro superior esquerdo, com limitação dolorosa, há uma semana. Relata história de lombalgia há três meses e melena há um mês. Exame físico: regular estado geral, desidrato +/4, descorado +++/4, afebril; PA 110/70 mmHg; FC 90 bpm. Addome escavado, sem visceromegalias, restante do eame segmentar normal. Dor à palpação de coluna lombar, contratura de musculatura paravertebral.
Exames laboratoriais: hemoglobina 7,2 g/dL; hematócrito 23%; leucócitos 8.200/mm³; plaquetas 39.000-mm³; ureia 87 mg/dL; creatinina 2,2 mg/dL; sódio 138 mEq/L; potássio 4,2 mEq/L; cálcio 10,3 mg/dL; THS 1,32 mU/L; ácido úrico 11,9 mg/dL.
Radiograma:

A hipótese diagnóstica é: