Magna Concursos
2966522 Ano: 2022
Disciplina: Medicina
Banca: QUADRIX
Orgão: IAMSPE

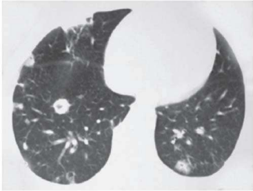
Um paciente de 58 anos de idade, com antecedente pessoal de hipertensão arterial sistêmica, diabetes melito e doença renal crônica estádio 4, pouco aderente ao tratamento medicamentoso, necessitou de internação recente devido a estado hiperglicêmico e hiperosmolar há três semanas. Nesta internação, permaneceu sob cuidados intensivos e, entre outras terapias, foi submetido a quatro sessões de hemodiálise. Desde a alta, melhorou sua adesão medicamentosa, no entanto, vem apresentando calafrios, sudorese e alguns episódios de febre, que o paciente tem atribuído aos medicamentos que agora passou a usar. Há um dia, iniciou quadro de tosse e dor ventilatório-dependente e, devido a isso, resolveu procurar o pronto-socorro. Na triagem, apresentava FC de 101, PA de 160 x 100, T 37,6 e sat. de O2 de 92%. O médico plantonista, sem examinar o doente, solicitou uma tomografia de tórax, que revelou a imagem seguinte.

Enunciado 3313728-1

Com base nesse caso hipotético, assinale a alternativa que apresenta a melhor conduta.

 

Provas

Questão presente nas seguintes provas