Magna Concursos
2128436 Ano: 2021
Disciplina: Medicina
Banca: UNICAMP
Orgão: UNICAMP

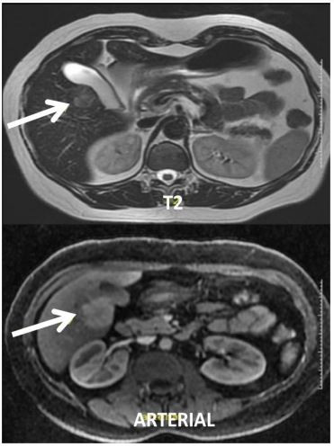
Paciente com antecedente de hepatopatia por vírus da hepatite C, tratado em 2017. Apresenta carga viral negativa. Em acompanhamento ambulatorial, ultrassonografia de abdome demonstra lesão em periferia de segmento V e endoscopia digestiva alta sem sinais de hipertensão portal. Exames laboratoriais: Hb= 12,3g/dL; Leucócitos= 3.500mm³ ; Plaquetas= 236.000mm³ ; Bilirrubina Total= 0,89mg/dL; Albumina= 4,8g/dL; RNI= 1,21; Na= 145mEq/L; Creatinina= 0,87mg/dL; Alfa fetoproteína= 1,4 mg/dL (MELD= 9) Realizou ressonância magnética com gadolíneo:

Enunciado 2128436-1

Mediante aos achados descritos, a hipótese diagnóstica e a conduta são:

 

Provas

Questão presente nas seguintes provas

Residência em Medicina - Cirurgia Geral

80 Questões