Magna Concursos
2173512 Ano: 2021
Disciplina: Medicina
Banca: VUNESP
Orgão: EsFCEx

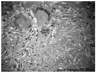
Considere a imagem de uma célula:

Enunciado 2173512-1

Essa célula é conhecida como célula

 

Provas

Questão presente nas seguintes provas

CFO-SSau - Médico/Patologia

60 Questões