Magna Concursos
2264852 Ano: 2022
Disciplina: Medicina
Banca: IBFC
Orgão: SES-DF
Provas:

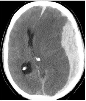
Homem, 70 anos vítima de queda do telhado (3 metros de altura) com trauma craniano seguido de perda da consciência no local. Trazido pelo Serviço de Atendimento Médico de Urgência (SAMU) à sala de trauma de hospital terciário. Admitido pela equipe do trauma em Glasgow 10, anisocoria com pupila esquerda maior que direita. Frente o quadro do paciente e a tomografia de crânio abaixo (figura 4), assinale a alternativa que contenha a conduta correta a ser tomada.

Enunciado 3407591-1

Figura 4 tomografia de crânio sem contraste

 

Provas

Questão presente nas seguintes provas

Médico - Neurocirurgia

100 Questões