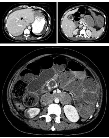
Mulher, 68 anos, comparece à unidade de emergência, queixando-se de dor e distensão abdominal nas últimas 24 horas, associados a múltiplos episódios de vômitos. Ao exame, apresenta-se sudorética, normotensa; abdome distendido, peristaltismo aumentado, difusamente doloroso. À palpação, sem sinais de irritação peritoneal. Refere ter constipação intestinal, sendo a última evacuação há cerca de 48 horas. História pregressa de múltiplos episódios, no último ano, de dor abdominal do tipo cólica, em hipocôndrio direito e epigástrio, menos intensa que a atual, com resolução espontânea, Foi realizada tomografia computadorizada do abdome.

Com base no quadro clínico da paciente e nos exames de imagem, qual o diagnóstico mais provável?