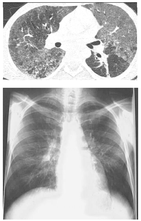
Um homem de 29 anos de idade, a princípio sem antecedentes, procurou o serviço de pneumologia com relato de dispneia progressiva, tosse seca, sensação de febre ao final da tarde e dor para deglutir. Relatou ter feito sexo desprotegido mais de uma vez no passado. Ao exame físico: lúcido e orientado em tempo e espaço; afebril; acianótico; anictérico; hidratado; taquipneico; FR de 30 irpm; FC de 60 bpm; PA de 112 × 80 mmHg; sat. de O₂ de 92% em ar ambiente; e oroscopia com placas esbranquiçadas e base eritematosa em cavidade oral. Exames complementares: Hb 13 g/dL; 15.900 leucócitos, com 7% de linfócitos e 70% de neutrófilos, com desvio à esquerda; 264.000 plaquetas; escarro com BAAR negativo; e DHL 900 U/L. Gasometria: pH 7,44; PO2 62 mmHg; PCO2 22 mmHg; e BIC 26.

Com base nesse caso hipotético, assinale a alternativa que apresenta o manejo no momento.