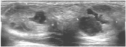
Paciente puérpera com 33 anos, informa que há duas semanas, durante amamentação, palpou um nódulo na mama direita.


O achado encontrado no exame de imagem classifica-se como:
Paciente puérpera com 33 anos, informa que há duas semanas, durante amamentação, palpou um nódulo na mama direita.


O achado encontrado no exame de imagem classifica-se como: