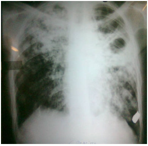
O atual sistema de classificação dos CDC para adolescentes e adultos infectados pelo HIV relaciona os indivíduos com base nas afecções clínicas associadas à infecção pelo HIV e contagem de linfócitos T CD4+. A categoria A consiste em infecção assintomática, aguda ou linfadenopatia generalizada progressiva, a B em estados sintomáticos não A e nem C, e a categoria C que inclui as doenças indicadoras de AIDS. Analise a seguir a radiografia de um paciente com células CD4+ menor que 200/ul.

São afecções pulmonares indicadoras de AIDS, EXCETO: